>
Enseignement
Liens.
Base de données
Newsletter
Accueil
Plan du site.
Copyright.
Contact
Qui sommes
nous ?
Mentions
légales.
Donations.
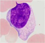
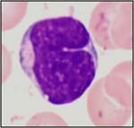
LLC typique
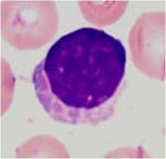
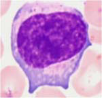
LLC lymphoplasmocytoïde
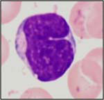
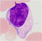
Lymphome folliculaire
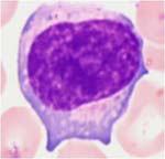
Lymphome de la zone marginale
Lymphome splénique à lymphocytes villeux
Lymphome du manteau
Leucémie à tricholeucocytes